|
4. Kapitel
LICHTREAKTION - Dimensionen scheinbarer Unsichtbarkeit, 2008/09

Im Jahr 2008 erhalte ich während 9 Monaten die Möglichkeit als artist in lab, in einem wissenschaftlichen Team des CIG (Center for Integrative Genomics) der Universität Lausanne eingebunden zu sein.
Das AIL, Swiss-Artists-in-Labs, ist Teil des Programms und zeitlich begrenztes Versuchsprojekt des ICS (Institute for Cultural Studies in the Arts), Zürcher Hochschule der Künste. Das AIL-Projekt wird vom Bundesamt für Kultur BAK finanziell getragen.
Das Laborteam, unter der Leitung von Christian Fankhauser, betreibt Grundlagen-forschung auf molekularer Ebene und interessiert sich für das Wachstum und die Entwicklung von Pflanzen in spezifischen Lichtverhältnissen, im speziellen für die Proteine, die Lichtsignale erkennen - den Photorezeptoren.
Um neben dem Erscheinungsbild (Phänotyp) der von den Wissenschaftlern manipulierten Pflanzen (Mutanten) auch die molekularen Strukturen und Reaktionen untersuchen zu können, wird die unscheinbare Pflanze Arabidopsis thaliana (Ackerschmalwand) eingesetzt. Diese wird schon länger wegen ihrer relativ einfachen Genstruktur als Modellorganismus in der Forschung genutzt.
Das Genom ist der Code in jeder Zelle eines Lebewesens und Ausschnitte daraus (verschiedene Gene) werden je nach Bedarf und äusseren Einflüssen eingeschaltet und in bestimmte Proteine umgewandelt, die den Bauplan eines Körpers bestimmen.

Arabidopsis thaliana: Keimling unter dem Stereomikroskop







Die Welt der Molekularbiologen ist äusserst komplex, wirkt wie ein Zauberkasten; für mich bedeutet sie Neuland. Das Einzige, das zu Beginn des Aufenthaltes klar dasteht, ist der Titel meines Projektes: «Lichtreaktion - Dimensionen scheinbarer Unsichtbarkeit». Wie auch bei den vorangehenden Kapiteln soll sich in der Beobachtung, aus dem Erfahrenen die Idee entwickeln, möchte ich das Erlebte in meiner künstlerischen Sprache visualisieren.
Nach vier Monaten im Labor stecke ich unter einem Berg Informationen, die ich nicht wirklich verarbeiten kann. In meinem Kopf herrscht ein grosses Chaos. Doch gibt es Fixpunkte, auf ihnen kann ich in den darauf folgenden zwei Monaten die Idee einer Installation aufbauen.

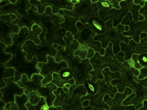
Der Grundstein der Installation ist ein Fenster, das aus 294 quadratischen Petrischalen besteht. In den Petrischalen züchten die Wissenschaftler in vitro auf Nährmedium ihre Zellen oder lassen die Samen keimen. Ich benutze die Schalen anders, male die Rückseite und deren Einteilung in 36 Felder aus mit einem Bild aus der Mikroskopie. Das Bild zeigt eine geöffnete Stoma, die Spaltöffnung eines Pflanzenblattes, eine Gewebskonstruktion, die für den Gasaustausch zuständig ist und somit die direkte Verbindung (Fenster) von innen und aussen bedeutet. Die Farbigkeit des Bildes ist manipuliert und die Auflösung derart verkleinert, dass ein Pixel ein Feld ergibt. Die Form der Umsetzung verweist auf die neue Software »Genevestigator«, aus der Visualisierung durch Farbfelder können bereits bekannte Genexpressionsdaten gelesen werden. Um das Farbfenster konstruiere ich einen Raum, eine begehbare Blackbox, die durchbrochen durch das eindringende Licht in eine sakrale Stimmung getaucht wird. Durch eine kleine Tür kann man in den Raum eintreten und trifft dort auf Objekte, bestehend aus transparenten Kunststoffen, die aus sich heraus leuchten. Die Objekte stellen symbolhaft die undifferenzierten Zellen dar; Zellen, deren Entwicklung noch nicht definiert ist. Meristeme, embryonales Bildungsgewebe der Pflanze, dort bestimmt die Pflanze, was sie wachsen lässt. Der Kallus, ein vom Menschen aus einem Stück Pflanze in vitro gezüchteter Zellhaufen, auf dem durch Zugabe bestimmter Hormone die Pflanze oder nur einzelne Organe derselben wachsen. Das unbekannte Präparat, geformt von der Künstlerin.

Vorlage zum Fenster der Blackbox


Fenster bestehend aus 294 quadratischen Petrischalen

Innenansichr der Blackbox

Tissue Array, Objektträger auf Sideboard

Regeneration I, auf Holzmöbel

Regeneration II, auf Holzmöbel

Drei Objekte auf Sideboard

Wandobjekt in Holzkiste

Aussenansicht der Blackbox
Auf den Aussenwänden der Blackbox sind Bilder zu sehen, die zwei weitere Dimensionen zum Thema Manipulation/Mutation zeigen:
GALLSTRAUSS UND ANOMALIEN
Bereits zu Beginn des Aufenthalts widme ich mich regelmässig der Pflanzengalle. Gallen kann man als Anomalien, Gewebsmutationen bezeichnen, die durch Parasiten wie Insekten verursacht werden. Die in der Wirtpflanze partiell hervorgerufene Veränderung des Stoffwechsels, können unglaubliche Ausformungen hervorbringen. Auch die Genetiker nehmen sich für die Herstellung transgener Pflanzen eine parasitäre Bakterie zur Hilfe. Durch ein kompliziertes Verfahren können sie die Bakterie mit einem gewünschten Gen besetzen, die DNA aber so verändern, sodass es in der Pflanze zu keiner Galle also Wucherung führt. Zum Thema Galle habe ich viele Ausformungen gesammelt, mit den Zweigen stelle ich zuerst »Gallsträusse« zusammen und betrachte danach die Gallen und vorhandenen Parasiten unter dem Stereomikroskop. Einige gesammelte Naturobjekte bilden den Kern für kleine Objekte. Auf Knospen und Tannzapfen und Weiterem bilde ich mit Wachs erfundene Gallen, Anomalien.

Gallstrauss, 84x107 cm, Pigmentdruck auf Papier

Anomalie 1, 42x56 cm, Pigmentdruck auf Papier

Anomalie 2A, 42x56 cm, Pigmentdruck auf Papier

Anomalie 2B, 42x56 cm, Pigmentdruck auf Papier

Anomalie 3, 53x42 cm, Pigmentdruck auf Papier

Anomalie 4, 60x78 cm, Pigmentdruck auf Papier

Anomalie 5, 60x78 cm, Pigmentdruck auf Papier
MIKROSKOPISCHE KONSTALLATIONEN
Mikroskopische Konstellationen sind Arrangements, die ich mit Einzelteilen der Modell-pflanze Arabidopsis thaliana mit feinster Pinzette und Stecknadeln auf Glaslamellen unter dem Stereomikroskop neu kombiniere.
So stelle ich eine Kreuzung dar oder pflanze eine Wurzel auf ein Meristem, aus dem eigentlich zwei Blätter wachsen sollten. Mit einer mit dem Mikroskop verbundenen Digitalkamera kann ich die Konstellationen direkt auf dem Computer festhalten.

Mikroskopische Konstellation, Blattwurzel, 40x75 cm, Pigmentdruck auf Papier

Mikroskopische Konstellation, Kreuzung, 84x110 cm, Pigmentdruck auf Papier

Mikroskopische Konstellation, Expression_C8, 84x84 cm, Pigmentdruck auf Papier

Mikroskopische Konstellation, Expression_C9, 84x84 cm, Pigmentdruck auf Papier
|